ΘΕΡΑΠΕΙΑ ΠΕΡΙΟΔΟΝΤΙΟΥ
Δύο είναι οι βασικές νόσοι των ούλων : η ουλίτιδα και η περιοδοντίτιδα.
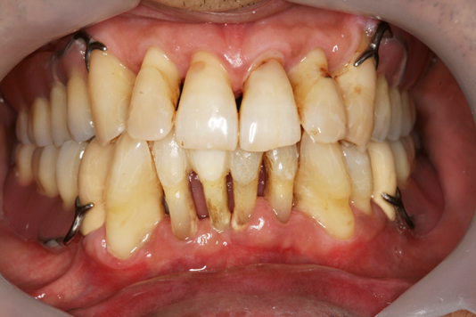
• ΟΥΛΙΤΙΔΑ: είναι η φλεγμονή των ούλων που οφείλεται στην οδοντική πλάκα και στην συσσώρευση μικροβίων πάνω σε αυτή, λόγω κακής στοματικής υγιεινής. Τα χαρακτηριστικά της ουλίτιδας είναι τα διογκωμένα εξέρυθρα ούλα που συνοδεύονται από αιμορραγία κατά το βούρτσισμα των δοντιών ή και αυτόματα.
• ΠΕΡΙΟΔΟΝΤΙΤΙΔΑ: Περιοδοντίτιδα είναι μια φλεγμονώδης νόσος μικροβιακής αιτιολογίας, που αποτελεί εξέλιξη της ουλίτιδας. Προσβάλλει το σύνολο των ιστών του περιοδοντίου και προκαλεί απρόβλεπτη, ανισομερή καταστροφή των στηρικτικών ιστών, ιδίως του φατνιακού οστού. Χαρακτηρίζεται από την ύπαρξη περιοδοντικών θυλάκων και την απώλεια πρόσφυσης.
Άλλα χαρακτηριστικά της περιοδοντίτιδας είναι η φλεγμονή και η αιμορραγία των ούλων, μετακίνηση δοντιών, κινητικότητα δοντιών και δημιουργία μεγάλων κενών ανάμεσα στα δόντια.

Και οι δύο αυτές νόσοι ευθύνονται και για την κακοσμία του στόματος.
Η θεραπεία τους και η διατήρηση της υγείας των περιοδοντικών ιστών, με την καθημερινή σωστή στοματική υγιεινή, είναι καθοριστική για την διατήρηση των δοντιών στο στόμα.








