ΑΝΤΙΜΕΤΩΠΙΣΗ ΠΡΟΒΛΗΜΑΤΩΝ
- ΑΠΟΚΑΤΑΣΤΑΣΗ ΤΕΡΗΔΟΝΑΣ, ΥΠΟΠΛΑΣΙΩΝ ΚΑΙ ΔΙΑΒΡΩΣΕΩΝ
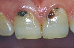
Βλάβες που οφείλονται σε τερηδόνες υποπλασίες ή διαβρώσεις, αντιμετωπίζονται με υλικά όπως είναι οι σύνθετες ρητίνες με άριστα αισθητικά αποτελέσματα.
> Τερηδόνα


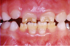
Πολυτερηδονισμός
Σε περιπτώσεις πολυτερηδονισμού, εκτός από την αποκατάσταση των τερηδονισμένων δοντιών συνιστάται η εφαρμογή ενισχυμένων οδηγιών στοματικής υγιεινής με χρήση ειδικής οδοντόκρεμας και στοματικού διαλύματος με υψηλή συγκέντρωση φθορίου καθώς και συχνές επαναξετάσεις.


> Διάβρωση





> Υποπλασία











